Vp Shunt Wikem

Ventriculoperitoneal Shunt Problems Wikem

Ventriculoperitoneal Shunt Problems Wikem

Ventriculoperitoneal Shunt Overdrainage Wikem

Ventriculoperitoneal Shunt Overdrainage Wikem

Hydrocephalus Wikem

Hydrocephalus Wikem

Cerebral Shunt The Reader Wiki Reader View Of Wikipedia

Cerebral Shunt The Reader Wiki Reader View Of Wikipedia

Tt5iq9vk2oyvhm

Tt5iq9vk2oyvhm

Ventriculoperitoneal Shunt Disruption Radiology Case Radiopaedia Org

Ventriculoperitoneal Shunt Disruption Radiology Case Radiopaedia Org

Ventriculoperitoneal Shunt Disruption Radiology Case Radiopaedia Org

Vp shunts september 28 2015 september 28 2015 neil young featured foam a 3 year female with history of vp shunt placed several months ago presents with a slight behavior change per parents.

Vp shunt wikem. Shunt tap only done by neurosurgeon unless critically high icp and no surgeon available lp often misses csf shunt infections and has no role when shunt infection is suspected. Signs and symptoms with high positive predictive value ppv for shunt failure include nausea and vomiting ppv 79 irritability ppv 78 decreased level of consciousness ppv 100 and bulging fontanelle 92. Ventriculoperitoneal shunt overdrainage slit ventricle syndrome ventriculoperitoneal shunt infection.

Lumbar peritoneal shunts are used in neurological disorders in cases of chronic increased intracranial pressure to drain excess cerebrospinal fluid csf from the subarachnoid cavity associated with such conditions. Majority in the first 2 years 40 in the first year may drain into peritoneal cavity or less commonly the right atrium pleural cavity ureter gallbladder. Vp shunts september 28 2015 september 28 2015 neil young leave a comment a 3 year female with history of vp shunt placed several months ago presents with a slight behavior change per parents.

Mri unless patient has programmable shunt can be recalibrated by neurosurgery if needed pumping shunt institution dependent may pull choroid plexus into shunt or cause intraparenchymal. Ventriculoperitoneal shunt mechanical failure. Patients at higher risk for.

Ventriculoperitoneal shunt mechanical failure. Also called a cerebral sinus fluid csf vp or cerebral shunt. Ventriculoperitoneal shunt mechanical failure.

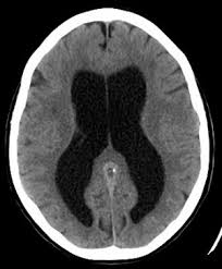
Ct scan without contrast. For a given patient each episode of shunt failure tends to be characterized by similar symptoms 3. Highest incidence of postoperative complications of any neurosurgical procedure.

Bulging fontanelles in infants. Differential diagnosis ventriculoperitoneal shunt problems. Ventriculoperitoneal shunt overdrainage slit ventricle syndrome ventriculoperitoneal shunt infection.

Ventriculoperitoneal Vp Shunt Market Size Share

Ventriculoperitoneal Vp Shunt Market Size Share

Vp Shunt Amanda Kurniasih Samanda Pada Dewasa Gejala Yang Paling Ser Ing Dijumpai Adalah Nyeri Pdf Document

Vp Shunt Amanda Kurniasih Samanda Pada Dewasa Gejala Yang Paling Ser Ing Dijumpai Adalah Nyeri Pdf Document

Febrile Seizure Wikem

Febrile Seizure Wikem

Psychogenic Nonepileptic Seizure Wikem

Psychogenic Nonepileptic Seizure Wikem

Posterior Reversible Encephalopathy Syndrome Wikem

Posterior Reversible Encephalopathy Syndrome Wikem

Maimonides Emergency Medicine Residency

Maimonides Emergency Medicine Residency

Stephen Hawking Develops Vp Shunt Law Gomerblog

Stephen Hawking Develops Vp Shunt Law Gomerblog

Hydrocephalus Shunts By Alex Gray Bme 281 Slideshow And Powerpoint Viewer What Is Hydrocephalus Neurological Disorder Where An Excess Of Cerebrospinal Fluid Csf Builds Up In The Brain Cau

Hydrocephalus Shunts By Alex Gray Bme 281 Slideshow And Powerpoint Viewer What Is Hydrocephalus Neurological Disorder Where An Excess Of Cerebrospinal Fluid Csf Builds Up In The Brain Cau

A Schematic Diagram Of The Eye Source Http En Download Scientific Diagram

A Schematic Diagram Of The Eye Source Http En Download Scientific Diagram

Seizure Wikem

Seizure Wikem

What Is Hydrocephalus

What Is Hydrocephalus

Seizure Wikem

Seizure Wikem

The Saga Of The Chhabra Shunt Chhabra Dk Neurol India

The Saga Of The Chhabra Shunt Chhabra Dk Neurol India

Normal Pressure Hydrocephalus Wikipedia

Normal Pressure Hydrocephalus Wikipedia

Source : pinterest.com