Vp Shunt Ultrasound

Vp Shunt Vp Shunt Cerebrospinal Fluid Pediatric Nursing

Vp Shunt Vp Shunt Cerebrospinal Fluid Pediatric Nursing

Pin On Child Life Specialist

Pin On Child Life Specialist

My Halie Was Born With Spina Bifida Hydrocephalus A Shunt Will Help My Child Live With Hydrocephalus She Just Turne Spina Bifida Vp Shunt Pediatric Nursing

My Halie Was Born With Spina Bifida Hydrocephalus A Shunt Will Help My Child Live With Hydrocephalus She Just Turne Spina Bifida Vp Shunt Pediatric Nursing

Fractured Vp Shunt Frontal Radiograph Of The Cervical Spine Edge Enhanced Shows A Fracture Of The Ventriculo Peritoneal Shunt Dr Vp Shunt Pet Ct Radiography

Fractured Vp Shunt Frontal Radiograph Of The Cervical Spine Edge Enhanced Shows A Fracture Of The Ventriculo Peritoneal Shunt Dr Vp Shunt Pet Ct Radiography

Vp Shunt Baby Google Search Spina Bifida Spinal Fluid Myelomeningocele

Vp Shunt Baby Google Search Spina Bifida Spinal Fluid Myelomeningocele

Shunts And Shunt Malfunction Neonatal Nurse Child Life Specialist Pediatric Nursing

Shunts And Shunt Malfunction Neonatal Nurse Child Life Specialist Pediatric Nursing

Shunts And Shunt Malfunction Neonatal Nurse Child Life Specialist Pediatric Nursing

Ventriculoperitoneal vp shunts are a device used to shunt cerebrospinal fluid in the treatment of hydrocephalus.

Vp shunt ultrasound. The patient gave informed consent for surgery and video recording. As the name suggests a catheter is placed with its tip in the ventricle. Shunt obstructions may be confirmed with radioisotope examination or with fluoroscopically guided injection of iodinated contrast material into the shunt reservoir.

Ventriculoperitoneal shunt placement is an effective and safe procedure for the treatment of postoperative communicating hydrocephalus when performed with appropriate techniques as displayed in the associated video case report. Vp shunting is a surgical procedure that primarily treats a condition called. Most pediatric patients with hydrocephalus are treated with ventriculoperitoneal vp shunt placement.

He was taken to the operating room for ventriculoperitoneal shunt placement as displayed in this video case report which highlights our surgical and sterile techniques intraoperative ultrasound to ensure appropriate ventricular placement and a single port laparoscopic technique for direct visualization of placement of the. In vitro and in situ testing was carried out by running deionized water through a ventriculoperitoneal shunt vps system using a pulsatile flow generator to replicate the. We report on the usefulness of abdominal ultrasound examination in the diagnosis and follow up of these patients and suggest that abdominal ultrasound should form part of the initial assessment of children with ventriculoperitoneal shunt dysfunction.

The external portion of the catheter is connected to a valve that regulates the flow of csf based on a preset pressure. A ventriculoperitoneal vp shunt is a medical device that relieves pressure on the brain caused by fluid accumulation. Method in this proof of concept report ultrasound is utilized to noninvasively monitor the shunt valve and characterize its mechanical response to different flow conditions.

Hydrocephalus Medical Symptoms Nursing Education Nurse

Hydrocephalus Medical Symptoms Nursing Education Nurse

Pin On Ob Gyn Utrasound 301 Mod 4

Pin On Ob Gyn Utrasound 301 Mod 4

Vp Shunts Can Have Complications With Any Of The Four Major Components Proximal Catheter Valve Reservoir Distal Catheter And K Vp Shunt Catheter Diagnosis

Vp Shunts Can Have Complications With Any Of The Four Major Components Proximal Catheter Valve Reservoir Distal Catheter And K Vp Shunt Catheter Diagnosis

Pin On Radiology

Pin On Radiology

5 Facts About Hydrocephalus Medical Knowledge Disability Awareness Disability Quotes

5 Facts About Hydrocephalus Medical Knowledge Disability Awareness Disability Quotes

Periventricular Leukomalacia Crainal Ultrasound Coronal View Sonography Ultrasound Neurology

Periventricular Leukomalacia Crainal Ultrasound Coronal View Sonography Ultrasound Neurology

Hydrocephalus Cropped Jpg Water On The Brain Spinal Fluid Shaken Baby Syndrome Cerebrospinal Fluid

Hydrocephalus Cropped Jpg Water On The Brain Spinal Fluid Shaken Baby Syndrome Cerebrospinal Fluid

Pin By Cherise J V Vuuren On Sound Seeing Corpus Callosum Radiology Imaging Obstetric Ultrasound

Pin By Cherise J V Vuuren On Sound Seeing Corpus Callosum Radiology Imaging Obstetric Ultrasound

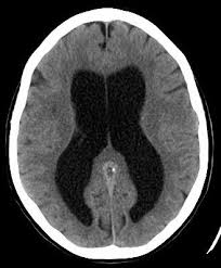
Hydrocephalus Wikipedia The Free Encyclopedia Ct Scan A Level Physics Health Blog

Hydrocephalus Wikipedia The Free Encyclopedia Ct Scan A Level Physics Health Blog

Hydrocephalus Google Search Kids Health Plexus Products

Hydrocephalus Google Search Kids Health Plexus Products

Spina Bifida Types Medical Ultrasound Diagnostic Medical Sonography Nursing Notes

Spina Bifida Types Medical Ultrasound Diagnostic Medical Sonography Nursing Notes

Pin On Hydro Mama

Pin On Hydro Mama

Intraventricular Hemorrhage Hydrocephalus And Intraventricular Hemorrhage With Placement Of Neonatal Nurse Pediatric Nursing Nicu Nurse

Intraventricular Hemorrhage Hydrocephalus And Intraventricular Hemorrhage With Placement Of Neonatal Nurse Pediatric Nursing Nicu Nurse

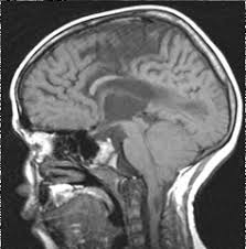
Chiari Ii

Chiari Ii

Source : pinterest.com