Vp Shunt Effect

Shunt Systems Hydrocephalus Association

Shunt Systems Hydrocephalus Association

Schematic Drawings Of The Pressure Environment Of The Vp Shunt System Download Scientific Diagram

Schematic Drawings Of The Pressure Environment Of The Vp Shunt System Download Scientific Diagram

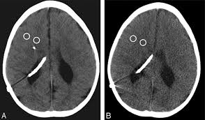
Pdf Cerebral Parenchymal Cyst A Rare Complication Of Ventriculoperitoneal Shunt Malfunction In An Adult

Pdf Cerebral Parenchymal Cyst A Rare Complication Of Ventriculoperitoneal Shunt Malfunction In An Adult

Ventriculostomy And Shunts For Brain Tumours

Ventriculostomy And Shunts For Brain Tumours

Radiological Findings Before And After Vp Shunt Placement Notes A Download Scientific Diagram

Radiological Findings Before And After Vp Shunt Placement Notes A Download Scientific Diagram

How Does It Actually Feel To Have A Shunt Living With Hydrocephalus Jordantheheadcase

How Does It Actually Feel To Have A Shunt Living With Hydrocephalus Jordantheheadcase

How Does It Actually Feel To Have A Shunt Living With Hydrocephalus Jordantheheadcase

Ventriculoperitoneal vp shunt complications include blockage and infection early and prompt detection of shunt dysfunction is vital as delay can lead to markedly raised intracranial pressure coning and death.

Vp shunt effect. Ap and lateral radiographs of the skull show a kink in the vp shunt in the middle of the neck. Ap and lateral radiographs of the skull shows migration of the vp shunt catheter tip out of its right sided burr hole in the skull. Axr above shows the tip of the vp shunt has migrated into the right scrotum.

There are a few different methods that can be used to relieve pressure around the brain. A ventriculoperitoneal shunt drains excess brain fluid reducing brain pressure to a safe level. Although obstruction and infection are the most common causes of shunt malfunction other complications can occur as well including bowel perforation pseudocyst formation and over draining which can lead to subdural hematoma formation.

The function of a vp shunt is to allow an escape route for this dangerous accumulation of fluid or blood. All patients with suspected vp shunt dysfunction should be discussed with neurosurgery. Ventriculoperitoneal shunts consist of a valve and two tubes called catheters which drain the.

A ventriculoperitoneal vp shunt is a medical device that relieves pressure on the brain caused by fluid accumulation.

Fig 2 Low Dose Nonenhanced Head Ct Protocol For Follow Up Evaluation Of Children With Ventriculoperitoneal Shunt Reduction Of Radiation And Effect On Image Quality American Journal Of Neuroradiology

Fig 2 Low Dose Nonenhanced Head Ct Protocol For Follow Up Evaluation Of Children With Ventriculoperitoneal Shunt Reduction Of Radiation And Effect On Image Quality American Journal Of Neuroradiology

Pdf Posture Related Changes In The Pressure Environment Of The Ventriculoperitoneal Shunt System

Pdf Posture Related Changes In The Pressure Environment Of The Ventriculoperitoneal Shunt System

Pdf Csf Shunt Complications What The Abdominal Imager Needs To Know

Pdf Csf Shunt Complications What The Abdominal Imager Needs To Know

Ventriculoperitoneal Shunt An Overview Sciencedirect Topics

Ventriculoperitoneal Shunt An Overview Sciencedirect Topics

Grading Of Ventricular Catheter Position Three Point Scales 1 Grade Download Scientific Diagram

Grading Of Ventricular Catheter Position Three Point Scales 1 Grade Download Scientific Diagram

Pdf Effect Of Protein Concentration On The Flow Of Cerebrospinal Fluid Through Shunt Tubing Cheatle Jt Bowder An Teffts Jl Agrawal Sk Hellbusch Lc Neurosurgery 2015 Aug 12 Epub Ahead Of Print

Pdf Effect Of Protein Concentration On The Flow Of Cerebrospinal Fluid Through Shunt Tubing Cheatle Jt Bowder An Teffts Jl Agrawal Sk Hellbusch Lc Neurosurgery 2015 Aug 12 Epub Ahead Of Print

About Your Programmable Vp Shunt For Pediatric Patients Memorial Sloan Kettering Cancer Center

About Your Programmable Vp Shunt For Pediatric Patients Memorial Sloan Kettering Cancer Center

Pharmacology Of Shunt Infections

Pharmacology Of Shunt Infections

Caring For Your Child S Ventriculoperitoneal Shunt Children S Hospital Medical Center

Caring For Your Child S Ventriculoperitoneal Shunt Children S Hospital Medical Center

Pdf Hemorrhage Rates Associated With Two Methods Of Ventriculostomy External Ventricular Drainage Vs Ventriculoperitoneal Shunt Procedure Semantic Scholar

Pdf Hemorrhage Rates Associated With Two Methods Of Ventriculostomy External Ventricular Drainage Vs Ventriculoperitoneal Shunt Procedure Semantic Scholar

Pdf Intraventricular Hemorrhage A Catastrophic Complication After Removal Of Old Ventriculoperitoneal Shunt

Pdf Intraventricular Hemorrhage A Catastrophic Complication After Removal Of Old Ventriculoperitoneal Shunt

Pdf Effect Of Transcranial Magnetic Stimulation On Four Types Of Pressure Programmable Valves

Pdf Effect Of Transcranial Magnetic Stimulation On Four Types Of Pressure Programmable Valves

Pdf Effect Of Nutritional Aspect On Prognosis In Shunt Surgery Patients

Pdf Effect Of Nutritional Aspect On Prognosis In Shunt Surgery Patients

Pdf Ventriculoperitoneal Shunts In Children On Peritoneal Dialysis A Survey Of The International Pediatric Peritoneal Dialysis Network

Pdf Ventriculoperitoneal Shunts In Children On Peritoneal Dialysis A Survey Of The International Pediatric Peritoneal Dialysis Network

Source : pinterest.com