Vp Shunt Catheter Radiology

Ventriculoperitoneal Shunt Radiology Reference Article Radiopaedia Org Vp Shunt Brain Surgery Radiology

Ventriculoperitoneal Shunt Radiology Reference Article Radiopaedia Org Vp Shunt Brain Surgery Radiology

Fractured Ventriculoperitoneal Shunt With Resultant Hydrocephalus Radiology Case Radiopaedia Org Radiology Fracture Case

Fractured Ventriculoperitoneal Shunt With Resultant Hydrocephalus Radiology Case Radiopaedia Org Radiology Fracture Case

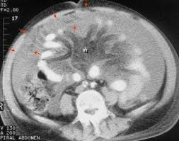
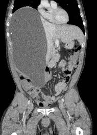
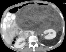
Final Diagnosis Right Subphrenic Intraperitonal Encapsulated Csf Csf Pseudocyst Collection Containing The Distal Ventriculoperitoneal Catheter Abdominal Cysts

Final Diagnosis Right Subphrenic Intraperitonal Encapsulated Csf Csf Pseudocyst Collection Containing The Distal Ventriculoperitoneal Catheter Abdominal Cysts

Pin By Varsha Kunwar Gautam On Excalibur Healthcare S Imaging Teleradiology Pins Radiology Imaging Radiology Ct Scan

Pin By Varsha Kunwar Gautam On Excalibur Healthcare S Imaging Teleradiology Pins Radiology Imaging Radiology Ct Scan

Pin On My Brain Ain T Right D

Pin On My Brain Ain T Right D

Pin By Hussein Allaw On Ct Radiology Radiology Imaging Gastrointestinal Disorders

Pin By Hussein Allaw On Ct Radiology Radiology Imaging Gastrointestinal Disorders

Pin By Hussein Allaw On Ct Radiology Radiology Imaging Gastrointestinal Disorders

The ventricular catheter is connected to a valve that regulates flow.

Vp shunt catheter radiology. Most occur within 2 months of surgery. This reduces overdrainage when the patient is standing. The time from the last shunting procedure to the development of an abdominal pseudocyst ranges from 3 weeks to 5 years.

Transverse us image below shows a moderate left hydrocele and the round vp shunt catheter in the medial aspect of the right scrotum. Complications discussed include mechanical failure infection ventricular loculation overdrainage and unique complications related to each shunt type. Unfortunately shunt malfunction is common occurring in up to 40 of cases at 1 year and 70 of cases at 10 years 1 clinical presentation in the setting of shunt failure is highly variable.

A peritoneal csf pseudocyst is a rare complication of ventriculoperitoneal shunt catheter placement. To counter a siphoning effect associated with upright posture many shunt systems also include an antisiphon device. Ventriculoperitoneal vp shunts are a device used to shunt cerebrospinal fluid in the treatment of hydrocephalus.

The external portion of the catheter is connected to a valve that regulates the flow of csf based on a preset pressure. Topics reviewed include the components and imaging appearances of the most common types of shunts and the utility of different imaging modalities for the evaluation of shunt failure. Historically shunt valves permitted a fixed amount of csf drainage.

Shunt obstructions may be confirmed with radioisotope examination or with fluoroscopically guided injection of iodinated contrast material into the shunt reservoir. Ap and lateral radiographs of the skull shows migration of the vp shunt catheter tip out of its right sided burr hole in the skull. Most pediatric patients with hydrocephalus are treated with ventriculoperitoneal vp shunt placement.

Axr above shows the tip of the vp shunt has migrated into the right scrotum. Note redundancy of intraperitoneal catheter to allow for vertical growth of child black arrow c. As the name suggests a catheter is placed with its tip in the ventricle.

Pin On Urogenital Radiology

Pin On Urogenital Radiology

Pin On Sumer S Radiology Site

Pin On Sumer S Radiology Site

Myxoid Liposarcoma Ct Radiology Diagnostic Imaging Radiology Imaging

Myxoid Liposarcoma Ct Radiology Diagnostic Imaging Radiology Imaging

Pin On Vp Shunt

Pin On Vp Shunt

Pin On Iih

Pin On Iih

Bilateral Elastofibroma Dorsi Radiology Case Radiopaedia Org Radiology Case Rings For Men

Bilateral Elastofibroma Dorsi Radiology Case Radiopaedia Org Radiology Case Rings For Men

Pin On Musculoskeletal Radiology

Pin On Musculoskeletal Radiology

Pin On Chest Radiology

Pin On Chest Radiology

Neonatal Lines Tubes And Catheters Wikiradiography Pediatric Nurse Practitioner Nicu Nurse Pediatric Nursing

Neonatal Lines Tubes And Catheters Wikiradiography Pediatric Nurse Practitioner Nicu Nurse Pediatric Nursing

Pin On Imaging

Pin On Imaging

Pin On Radiology Views Pathology And Such

Pin On Radiology Views Pathology And Such

Sosanguinern Medicalschool Hydrocephalus Is A Medical Spinal Fluid Shaken Baby Syndrome Cerebrospinal Fluid

Sosanguinern Medicalschool Hydrocephalus Is A Medical Spinal Fluid Shaken Baby Syndrome Cerebrospinal Fluid

Mesentric Peritoneal Inclusion Cyst Radiology Cysts Cavities

Mesentric Peritoneal Inclusion Cyst Radiology Cysts Cavities

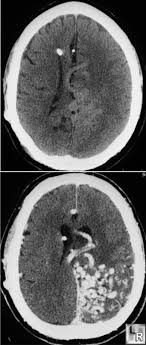
Unenhanced And Enhanced Axial Cts Of Brain Shows A Large Serpiginous Avm Adjacent To The Tentorium Radiology Imaging Radiology Interventional Radiology

Unenhanced And Enhanced Axial Cts Of Brain Shows A Large Serpiginous Avm Adjacent To The Tentorium Radiology Imaging Radiology Interventional Radiology

Source : pinterest.com